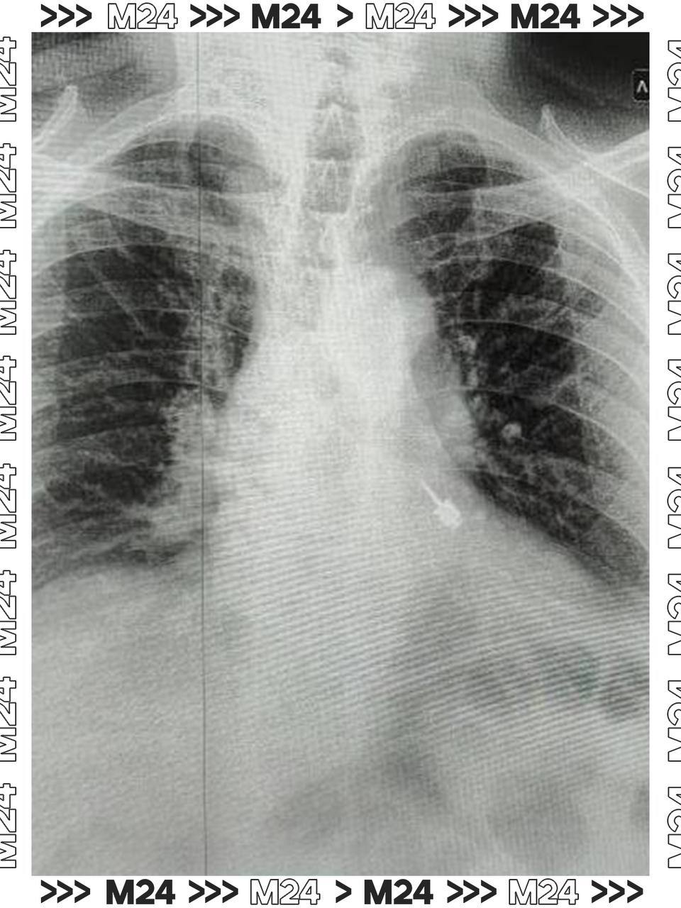
В Подмосковье клиент стоматологической клиники проглотил бур во время лечения.
Он сразу почувствовал боль и отправился в больницу. Рентген показал, что бур находится в левом бронхе. Врачи Мытищинской больницы экстренно прооперировали пациента.
Главная задача, по словам медиков, заключалась в том, чтобы сделать это максимально аккуратно. Острая часть могла повредить стенки бронха, вызвав кровотечение или перфорацию.
Ещё одна фобия активирована
РИА Новости





























































