Нейрохирурги Долгопрудного вернули подвижность пациенту с опухолью
В Долгопрудненскую клиническую больницу поступил 71-летний мужчина с жалобами на головную боль, эпизодические потери сознания и слабость в левых конечностях.
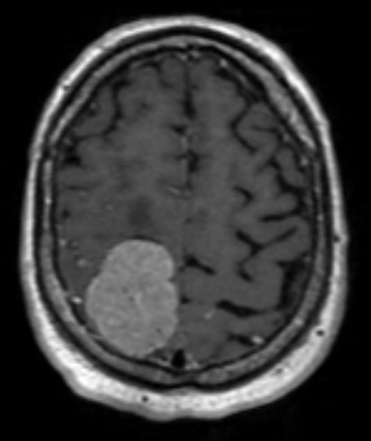
При МРТ-обследовании было выявлено крупное, около 5 см, внемозговое новообразование в лобной и теменной областях. Оно и являлось причиной приступов и слабости в руке и ноге. На момент поступления в стационар пациент не мог вставать и обслуживать себя.
Нейрохирурги Станислав Киселёв и Данил Чёлушкин провели микрохирургическую операцию по удалению опухоли.
Как сообщили в Долгопрудненской больнице, операция прошла успешно, и уже вскоре к мужчине вернулась способность управлять рукой и ногой. После небольшого восстановительного периода он был выписан домой, где передвигается и обслуживает себя самостоятельно.
Пациент и его дочь поблагодарили врачей за спасение. И мы говорим нашим медработникам: вы – лучшие!
Официальный Долгопрудный l MAX: https://max.ru/id5008001799_gos
#долгопрудный #здравоохранениевДолгопрудном #СпасибоДоктор



























































