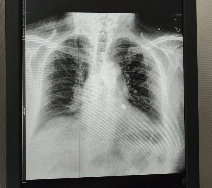
Мужчина проглотил стоматологический бур во время лечения зубов в Подмосковье в частной клинике.
После этого он сразу поспешил в районную больницу, где врачам удалось извлечь инструмент из левого бронха.
С мужчиной все в порядке, его выписали, он чувствует себя хорошо.






























































