Врачи Мытищ извлекли стоматологический бур из бронха пациента
В Мытищинскую больницу экстренно доставили мужчину — во время лечения зубов в частной клинике стоматологический бур попал ему в дыхательные пути.
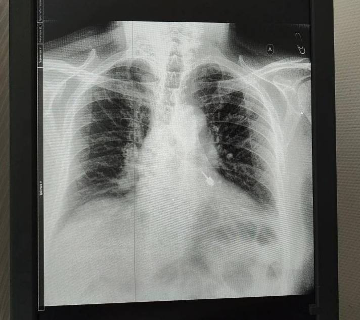
Рентген показал, что острый инструмент застрял в левом бронхе. Любое промедление грозило кровотечением и осложнениями, вплоть до смертельного исхода.
Врачи провели бронхоскопию. Бур аккуратно зафиксировали и извлекли, не повредив ткани. Пациент быстро пошёл на поправку и спустя несколько дней вернулся домой.
Плюс новая фобия…






























































