Мытищинские врачи извлекли стоматологический бур из бронха пациента
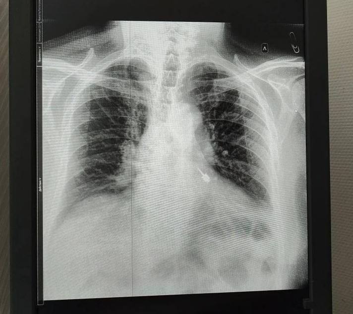
Инцидент произошёл после лечения в частной стоматологии. Мужчина почувствовал дискомфорт и обратился в Мытищинскую городскую больницу.
Диагностика подтвердила наличие инородного тела в левом бронхе. Медики провели экстренную операцию, учтя возраст и возможные риски. Благодаря слаженным действиям пациента удалось спасти.
Сейчас он выписан и чувствует себя нормально.





























































