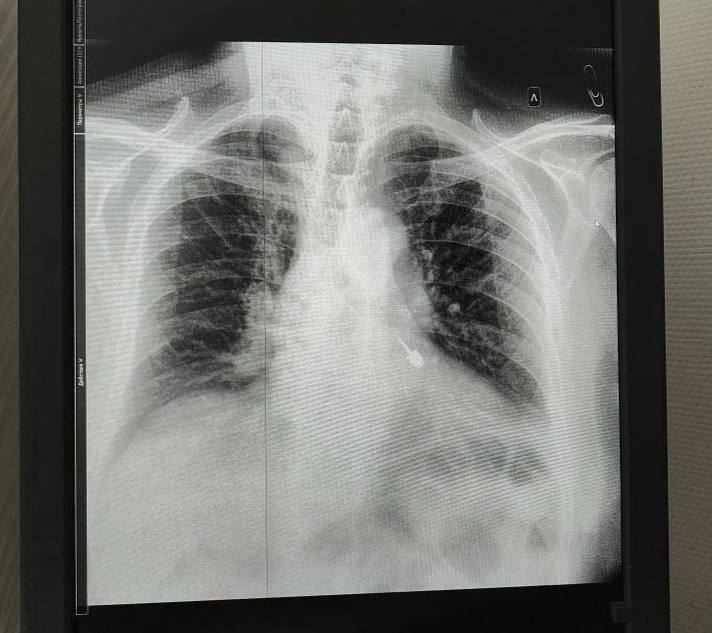
Врачи достали стоматологический бур из бронха пациента в Мытищинской больнице, сообщили в Минздраве Московской области.
Инородный предмет попал в дыхательные пути пациента после неудачного лечения зубов в частной клинике. За медпомощью несчастному пришлось обращаться в больницу.
"Острая часть бура могла повредить стенки бронха, вызвав кровотечение или перфорацию. <...> Специальным эндоскопическим инструментом бур был надёжно зафиксирован и плавно извлечён — без травмирования окружающих тканей", — рассказала врач-эндоскопист Мария Юрченко.
После операции состояние пациента стабилизировалось. Через несколько дней мужчину выписали домой.
РЕН ТВ ждет вас в MAX






























































